新闻动态
致命玻璃穿眶入颅 同仁多科解危机
2022年8月5日,在北京同仁医院多学科密切配合下,经过医生们近9个小时的紧急抢救,一名因玻璃碎片刺入眼眶的患者最终转危为安。
雨夜滂沱 玻璃碎片刺穿眼眶
8月4日夜间,北京上空电闪雷鸣,一辆救护车冒雨自河北向北京同仁医院亦庄院区疾驰而来。车上转运的是一位六十多岁的患者,几小时前,他不慎被衣帽镜碎片刺入眼眶,伤势严重、流血不止。家属在当地医院医生的建议下,决定将患者紧急转入北京同仁医院进行抢救。
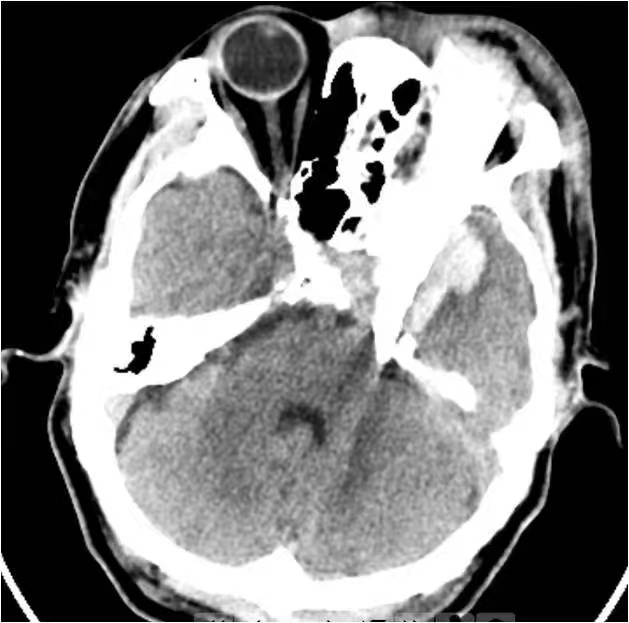
急诊医生首先接诊,在完成新冠病毒肺炎风险排查后,马上为患者安排了颅脑CT检查并请神经外科代从新医生紧急会诊。通过CT影像可见,一块长度超过10cm的玻璃碎片如利刃般自左侧眉弓处刺入眼眶,异物刺破眼眶进入颅内,尖端直抵脑干前方,左侧眼球破裂。更为棘手的是,异物因刺到颅底骨质,颅内玻璃碎为数块,并伴有颞叶脑内血肿形成。万幸的是就诊时患者神志尚清楚。
急诊CT检查结果
各科会诊 深思熟虑确定方案
鉴于患者的病情,代从新医生发起了复杂颅面创伤救治流程,向神经外科主任康军及医务处汇报。医务处副处长朱捷紧急组织神经外科、眼科、急诊外科、医学影像科、麻醉科、ICU等相关科室进行会诊,讨论病例及治疗方案。
颈内动脉有无损伤?颅内出血会不会继续增加?异物能不能全部取出?取出过程中会不会发生致命性大出血?颅底缺损如何修补?如何防治脑脊液漏和颅内感染?破裂眼球如何处理?一连串亟待解决的致命风险摆在医生面前。
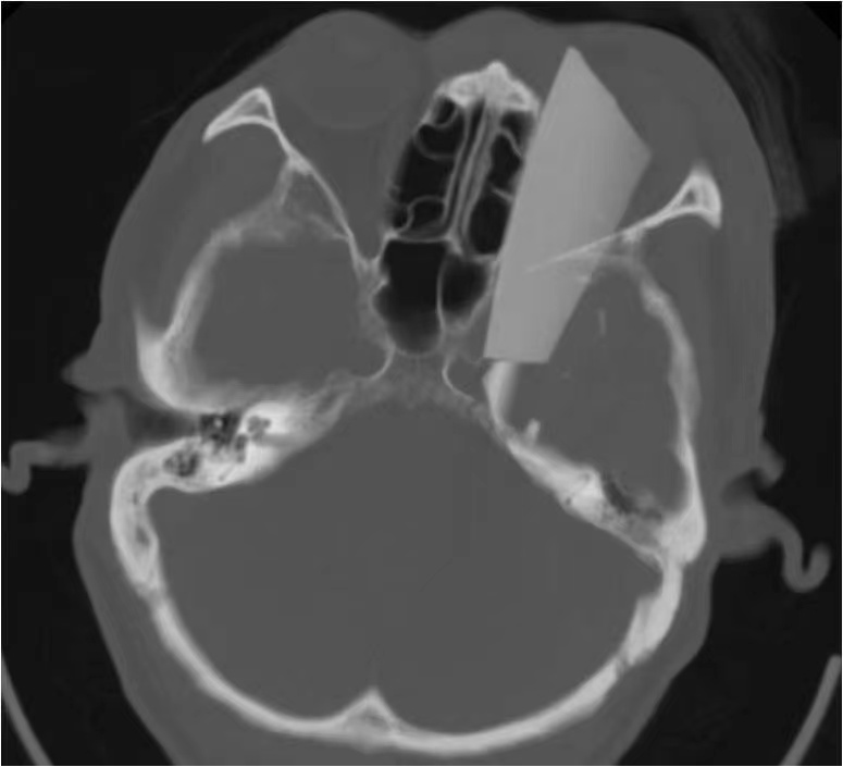
医生查看患者CT结果
各科室听令而行,根据患者的伤情及术中、术后可能出现的各种风险制定了详细的手术预案和针对措施,并和家属做了详细的交待与沟通。多科室的紧密配合,为救治患者赢得了宝贵时间。
通常,异物进入眼眶会对眼部造成多种损伤,包括机械性损伤、化学性损伤、感染、异物反应等,严重时可危及生命,十分凶险。加之眼眶内空间狭窄,血管、肌肉、神经结构复杂,取出异物的过程中极易损伤周围组织,造成二次损伤,这不仅对医生的个人技术提出了极高要求,更加考验多科室协同救治能力。
根据患者当时的情况,代从新医生一面安慰焦虑不安的患者和家属,一面协助急诊科为患者进行补液、抗感染等处理。
团结协作 密切配合解除危机
在充分术前准备和各科室的紧密配合下,一场“虎口拔牙”式的开颅探查+异物取出手术在中心手术室1号杂交手术间紧张有序地开始了。神经外科康军主任坐镇指挥,手术室王蕊、李家兴护士迅速完成各项准备,麻醉科吴黎黎医生为病人进行全身麻醉。神经外科王卫医生首先为患者进行全脑血管造影术(DSA),造影结果显示异物与颅内海绵窦段颈内动脉“擦身而过”,最近处仅有不足2毫米的间隙!玻璃断茬异常锐利,在拔出过程中稍有不慎,就很有可能伤及颅内大血管,引起致命大出血。王卫医生又给患者做了压颈试验,证实前交通动脉代偿良好。如果现在闭塞左侧颈内动脉,手术风险和医生压力将会大大降低,但患者会面临迟发偏瘫或将来脑供血不足等风险,神经外科医生们又面临一个两难选择。经过现场认真讨论,为保证患者术后能拥有高质量的健康生活,康军主任果断决定:力争为患者保留颈内动脉畅通,同时留置腹股沟处介入血管穿刺鞘,万一术中出现大出血情况可以迅速闭塞患侧颈内动脉近端。
患者造影结果
随后,神经外科手术团队进行开颅手术探查。首先磨除前床突,然后小心磨除异物周围的颅底骨质,清除脑内血肿,术中可见异物刺破海绵窦的外侧壁,尖端进入后颅窝。李永和代从新两位神经外科医生相互配合,在显微镜下仔细将异物周围脑组织用明胶海绵保护好。由于玻璃碎块尾端已经完全没入眶内,眉弓皮肤表面并不能看到异物,只能看到大约3cm左右的伤口。牵开伤口后,医生沿穿刺窦道找到异物尾端,在显微镜下用血管钳稳稳将其夹住,小心翼翼地将异物从穿刺窦道内缓慢取出。至此,长度7.5cm的最大一块玻璃碎块终于被完整取出。
取出异物
但此时,抢救还没结束。被异物压闭的海绵窦开始汹涌出血,及时用明胶海绵压迫止血后,神经外科的医生们还要在显微镜下耐心探查。一个个较大的玻璃碎块、以及数枚几毫米的玻璃碎渣被陆续从颅内取出,彻底止血后,反复冲洗术野,严密修补颅底,顺利关颅。
术中探查异物
神经外科的手术完成后,眼科刘苏萌医生上台为患者进行眶内探查手术,缝合破裂眼球。随后,患者被推送至ICU病房继续治疗。目前患者生命体征平稳,此次手术的顺利完成,体现了北京同仁医院颅面创伤中心团队协作、勇于担当的进取精神。今后,中心将以领先的技术和温暖的服务更好地造福于广大患者。
学科名片
北京市颅面创伤中心成立于2006年,是2008年北京奥运会和2022年北京冬奥会指定医疗救治中心。中心依托北京同仁医院两个国家级重点学科——眼科、耳鼻咽喉头颈外科,整合神经外科、口腔科、放射介入科、整形外科的技术力量,开展多学科合作治疗,真正做到“以病人为中心”,对复杂颅面创伤病人多学科联合手术,一次手术为病人解决颅面部多科问题。中心成立以来,每年治疗上百例来自全国各地病人。2021年随着北京同仁医院主体南迁,亦庄院区新病房大楼启用,配备了最先进的数字化杂交手术间,为合并颅底大血管损伤的病人救治提供了更加优越的硬件条件。颅面创伤中心将紧跟学科前沿,在颅面创伤和颅底肿瘤治疗领域不断奋进。
上一篇: 191名新职工加入同仁大家庭



