新闻动态
北京同仁医院成功开展首例机器人辅助人工全髋关节置换术
近日,北京同仁医院多学科合作成功完成了首例MAKO机器人辅助人工全髋关节置换术(Total Hip Arthroplasty, THA)。手术的顺利实施,标志着我院在智能化、微创化和精准化骨科领域迈出了关键一步,进入机器人辅助手术与快速康复(ERAS)相结合的新阶段。


张轶超主任医师与沈松坡副主任医师使用MAKO机器人辅助进行髋臼的磨锉,屏幕上绿色区域为尚需打磨的髋臼软骨。
本例手术由骨科张轶超主任医师、沈松坡副主任医师、王国栋副主任医师及张蔷主治医师共同完成,麻醉科徐源副主任医师、手术室护士长刘颖、骨科组长张晴及王晨欣、陈文博、冯路迪护士组成的护理团队密切协作,机器人厂家工程师现场技术支持。患者因股骨头坏死保守治疗无效,出现髋关节严重疼痛、行走障碍,两年前同样由张轶超主任团队使用传统手术工具完成了右侧全髋关节置换术,本次为左髋关节长期疼痛影响行走,保守治疗无效,经多学科(MDT)评估后,最终选择采用MAKO机器人辅助人工全髋关节置换术。
全髋关节置换手术患者最容易出现不满意的表现就是术后双侧下肢不等长,机器人关节置换术通过精准规划可以很大程度上避免这一并发症的出现,而术前规划离不开CT薄层扫描及三维重组技术。为此,放射科副主任燕飞牵头协调,制定了详细的扫描规范。技师长张永县带领技师朱蕾等完成了患者的术前下肢CT扫描,骨科团队基于患者CT影像资料进行三维建模和个体化术前规划,精确确定假体型号、髋臼杯角度和下肢力线,以确保术后肢体长度与功能恢复的最佳匹配。
在手术过程中,MAKO机械臂通过高精度传感器与力控反馈系统,为术者提供实时导航。髋臼磨挫及假体植入均可在毫米级精度下完成,有效避免了传统手术中因主观判断带来的角度误差或骨量损失。机械臂自动识别手术区域边界,一旦超出规划范围会自动锁臂,从而显著提升了手术的安全性与可重复性。术中出血量明显减少,假体位置与术前规划高度一致,术后X线及CT复查均显示植入位置理想。

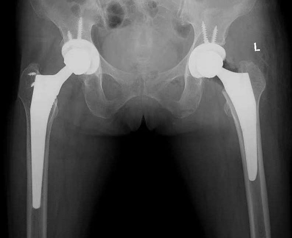
术前影像显示右髋置换术后状态,左侧肢体较右侧短缩9mm。

安放假体后校验显示左髋较术前长12mm,较对侧长2mm。肢体长度差异达到毫米级。

术后复查床旁骨盆X光片显示左髋假体位置:髋臼外展角、前倾角、假体偏心距及肢体长度均与术前计划一致。
值得一提的是,我院骨科团队在此次手术中一如既往,全面贯彻“快速康复外科(Enhanced Recovery After Surgery,ERAS)”理念,实现了智能手术与加速康复的有机融合。术前通过系统化健康宣教与心理疏导,帮助患者建立信心;术中采用多模式镇痛(包括局部浸润镇痛、神经阻滞与静脉镇痛联合方案),显著减轻术后疼痛反应,减少阿片类药物使用;术后加强早期康复指导与功能锻炼,在专业康复治疗师于歌及骨科护士长赵雪带领的护理团队协助下,患者于术后第1天即可在步行辅助器下实现早期下地行走。10月24日,术后第2天患者顺利出院,也创造了我院关节置换术后最快出院记录。

术后第一天早上,患者在康复治疗师于歌的指导下站立、行走,快速康复且无痛。
通过机器人精准定位与ERAS理念协同应用,患者术后疼痛轻、功能恢复快、并发症发生率低。与以往传统全髋关节置换术相比,患者平均住院周期缩短,术后下肢肿胀、血栓及感染等并发症显著减少,恢复过程更加平稳、安全。
MAKO机器人系统是目前国际上领先的关节置换辅助手术平台,集三维重建、术中导航与力学反馈于一体,能实现真正意义上的个体化精准置换。此次手术的成功实施,标志着我院在人工关节置换领域从“经验主导”迈向“数据驱动”,为更多髋膝关节疾病患者带来了安全、高效、舒适的全新治疗选择。
未来,我院骨科将继续以患者为中心,深入推进“智能医疗+快速康复”模式,强化多学科协作,持续提升机器人辅助手术、微创技术与康复管理水平,努力为广大患者提供更加精准、微创、安全、舒适的诊疗体验。



